Composite fillings are tooth-colored restorations that are used to fix teeth that have been damaged by decay or injury. They are made from a plastic and glass mixture and are commonly used because they can match the color of your existing teeth, ensuring a natural-looking restoration.
Composite fillings, sometimes referred to as composite resins, are a type of dental restorative material used to repair decayed, chipped, fractured, or discolored teeth. They are especially suitable for those needing small to medium fillings or wish to have a more natural tooth color, as they are designed to match the color of your existing teeth.
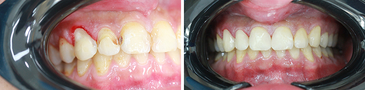
A composite bonding treatment is made of a combination of plastic and fine glass particles. During the procedure, the dentist will first remove the decayed tooth material, clean the affected area, and then apply the composite in layers. Each layer is then hardened or cured with a special light. Once all the layers have been applied and cured, the dentist will shape the composite to fit the tooth and then polish it to prevent staining and early wear.
There are several advantages to using composite fillings, some of which include:
Aesthetics: One of the biggest advantages is that composite fillings can be closely matched to the color of existing teeth, making them a popular choice for front teeth or other visible parts of the teeth.
Bonding: Composite fillings bond directly to the tooth, providing additional support.
Versatility: They can be used for a variety of dental restorations, including small to mid-size fillings and areas where more chewing load is required.
However, there are some disadvantages to consider:
Durability: Composite fillings may not be as durable as other types of fillings, especially for large cavities.
Cost: These fillings can be more expensive than amalgam fillings. But the fact that it is expensive is not very valid in Turkey. Due to the political currency, the composite fillings process is very cheap in Turkey.
Composite bonding, also known as dental bonding, is a popular cosmetic dentistry procedure. This treatment involves the application of a tooth-colored composite resin to enhance the appearance of your teeth and improve your smile. The lifespan of composite bonding depends on a variety of factors, including the size and location of the bonding on the tooth, your oral habits, and the skill level of the dentist who performed the procedure. On average, you can expect composite bonding to last anywhere from 5 to 10 years, although it can sometimes last longer with proper care and maintenance.
Regular check-ups with your dentist are crucial as they can monitor the condition of the bonding and recommend replacement or repair when necessary. It's important to note that while composite bonding is durable, it is not as strong as your natural teeth. Habits such as chewing on ice, biting fingernails, or using your teeth as an opener can shorten the lifespan of the bonding. Similarly, consuming a lot of coffee, tea, or other staining foods and drinks can discolor the composite material over time. Good oral hygiene practices such as regular brushing, flossing, and professional cleanings, along with avoiding potentially harmful habits, can help maintain the bonding and prolong its lifespan.
.jpg)
Izmir, as one of the leading cities in Turkey for medical tourism, offers an ideal location for dental treatments. Here's why:
High-Quality Services: Izmir's dental clinics boast state-of-the-art facilities, using the latest technologies and highly trained professionals who adhere to international standards of care.
Cost-Effectiveness: Despite the high quality of care, the cost of dental treatments in Izmir is typically much lower than in Western countries.
Scenic Location: Apart from the dental treatment, you can enjoy the beautiful city of Izmir, rich with history, culture, and stunning landscapes.
Whether you live in Turkey or are considering a trip for medical purposes, it's clear that there are many advantages to getting composite fillings in Izmir.
Composite fillings treatment Turkey cost is much cheaper than Europe or America. Although there are very experienced and successful doctors, you can perform dental bonding treatment very cheaply due to the current situation of Turkey and the currency situation. Generally, the cost of dental bonding treatment in Turkey varies between 60-80 dollars. The reason for this price range is directly proportional to the experience of the clinic and the quality of the materials used. At Denta Perla Diamond, we use only the highest quality materials with our doctors with 10+ years of experience.
As Denta Perla Diamond, we provide service in Izmir for all your dental treatments. You can have a perfect dental holiday in Izmir, which is one of the most important touristic spots in Turkey. You can have your treatment in , which has very high quality and equipment at a very affordable price, and you can visit world-famous attractions and touristic pots.
Composite fillings, composite bonding treatment, dental implants, dental veneers, Denta Perla Diamond is one of the best choices for all treatments. If you do not know which treatment is more suitable for you, you can contact our doctors for free right now! Just contact us or send a message. Smile with Denta Perla Diamond!